发布时间:2024/08/05 点击数:448 · “对器官芯片整体替代体内研究的看法是什么?”
· “器官芯片能否再现动物组织?还是仅能再现人体组织?”
曼博生物【器官芯片100问】第4期将针对以上问题进行解答。
1、实验药物是否会在从未经过动物测试的情况下进入临床?
这种情况已经出现:现在有几种药物进入了临床开发阶段,而没有进行各项动物测试。目前,这种情况是例外而不是常态,但在未来几年内,我们预计会有更多药物(包括人类特异性的新疗法)进入临床试验,而不进行动物测试。为摆脱动物测试,我们需要监管机构、测试供应商、测试方法开发者和登记人共同推动更多的变革。我们还需要用与具体治疗候选药物及其预期用途更相关的问题取代“旧问题”。我们看到集成测试的增长,包括体外测试、化学测试、计算测试和体内测试的结合,并预计体内测试的比例将逐步减少,未来在发现、开发和临床前开发阶段使用新方法学(NAMs)将变得更加突出,使用的动物数量将减少。
2、对器官芯片整体替代体内研究的看法是什么?
在未来几年中,科学家将继续在越来越多的药物筛选和开发活动中使用新方法学(NAMs)。体内动物研究整体替代所有应用场景的可能性很小。更有可能的是,它们的使用将减少到只能回答特定的科学问题,只有体内模型才能为系统级研究提供答案,这些问题是无法通过NAMs(包括器官芯片)来解决的,仅靠体外或计算方法生成等效数据将始终是一个挑战。
· 需要实施进一步的结构性变革,才能在药物开发中完全替代体内测试。一篇报告(Sewell等,2024)强调了一些采用新方法学(NAMs)的障碍,包括器官芯片(OOC)在内,一些公司已经具备替代急性测试的能力,并且在机构和登记人的支持下可以付诸实践。他们已经可以进行复杂终点测试,如体外皮肤敏化测试
· 遗传毒理学测试已经包括体外和计算机测试,并且有基于机制的无动物癌症危害评估测试。一些人认为啮齿动物测试不再具有附加价值
· 器官芯片产生的与人体相关的药物诱发肝损伤(DILI)数据远优于动物模型能够达到的结果
· 现在能够利用体外测试,如发育与生殖毒性(DART)和发育神经毒性(DNT)测试,来筛查发育中动物的神经毒性
· 还可以使用计算模型阐明毒代动力学和药物代谢/药代动力学(DMPK)数据
此外,体内测试的低可重复性和准确性的证据也开始积累,例如:
· 啮齿动物急性经口毒性测试(Luechtefeld等,2016)
· Draize兔眼刺激测试(Luechtefeld等,2016)
· Draize体内兔皮肤刺激测试(Rooney等,2021)
· 皮肤敏化(OECD,2023)
科学家们正致力于无动物测试,一篇报告(Turner等,2023)展示了通向无动物测试的路径,相关内容也在一文中引用。
3、器官芯片能否再现动物组织?还是仅能再现人体组织?
虽然较少见,但也可以使用OOC技术生成动物组织,就像生成人体组织一样。然而,与其他模型开发一样,使用不同细胞来源时需要进行优化,因此人类细胞不能总是简单或直接地替代动物细胞。通常,细胞数量、培养基流速、细胞培养基和支架涂层必须针对每个动物物种的组织进行优化。一些器官芯片供应商,比如CN Bio,目前正在测试用于DILI评估的大鼠和狗的肝脏芯片模型,以预测物种间的差异,保护动物使用,并为物种选择和体内研究设计提供信息。
OOC技术可以用来模拟动物组织,并且考虑动物器官芯片有一些重要原因。两个主要原因是:
1、验证:在验证过程中,我们传统上将体外人类细胞和组织与体内动物模型进行比较,这在工作流程的这一阶段引入了两种差异。一种是从体外模型到体内模型,另一种是从人类到另一种动物物种(并在后续流程中返回人类)。如果我们能够减轻其中一种差异,即在体外使用相同的动物物种组织,同时进行人体体外测试和体内测试,那么体外模型与动物模型之间的数据将更具可比性。此外,在人类和动物OOC模型之间观察到的各项差异都将归因于物种差异。美国环保署(US EPA)就采用了这一原则,转向体外人类皮肤吸收测试,而不是体内动物测试(Allen等,2021)。
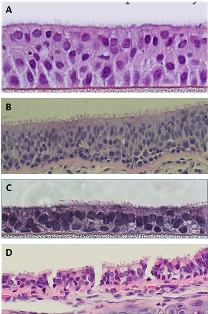
此外,如下图,大鼠和人体体外气道模型的实验室内和实验室间评估显示了良好的一致性(Wallace等,2023)。

Figure:A, In vitro human EpiAirway tissue model; B, In vivo human tracheobronchial tissue; C, In vitro rat EpiAirway tissue model; D, In vivo rat tracheobronchial tissue. 200× magnification.
2、动物福利:动物OOC模型可以让我们在测试的体外阶段识别动物的潜在毒性。这将帮助我们在后续设计体内实验时做出更人道的决定,即可能停止测试,或研究人员可以选择使用较低浓度的有毒分子进行实验。这也允许动物技术员和兽医在体内测试的早期阶段寻找生理毒性迹象。NASEM研讨会总结报告进一步强调了这一点。当然,从兽医药物的角度来看,这些数据和观察结果直接相关。
(未完待续……)
更多器官芯片相关技术问题,欢迎咨询上海曼博生物!
关注曼博生物公众号:Mine-Bio,查看更多技术文章!





