发布时间:2025/07/25 点击数:1395 人重组激活素 E PLUS 蛋白是人激活素 E 蛋白成熟结构域的优化生物活性截短体。激活素 E 是转化生长因子 β (TGF-β) 超家族的成员,该家族成员在调节细胞生长、分化和炎症方面发挥关键作用。Activin E(点击查看详情) 和 ALK7 是配体与受体的关系,二者在脂肪代谢等生理过程中发挥重要作用。无标签形式的激活素 E PLUS 对各领域的药物研发具有重要意义。
我们也可根据要求提供重组人 ( Qk082 ) 和小鼠 ( Qk008 ) Avi 标签激活素activin E PLUS 。
人重组激活素 E PLUS 蛋白是高纯度 23.2 kDa 二聚体,由截短的成熟结构域组成, 不含动物来源 (AOF) 和载体蛋白 (CF)。

1. 激活素 E 成熟结构域的高纯度优化形式(UniProt:P58166)
2. 23.2 kDa(二聚体)
3. >98%,通过 SDS-PAGE 定量密度测定
4. 在大肠杆菌中表达
5. 无动物来源(AOF)和无载体蛋白
6. 在英国剑桥实验室制造
7. 乙腈、TFA 冻干
8. 以 >50 µg/ml 的浓度重新悬浮于 10 mM HCl(重组溶液 A)中,如有需要,添加载体蛋白,制备一次性使用试样并冷冻保存于 -20 °C(短期)或 -80 °C(长期)
9. 替代蛋白质名称:INHBE, Activin beta-E chain, Inhibin beta E chain
10. 物种反应性:人(human)
11. 质谱法:具有预期质量的单一物种
12. 库存瓶回收率:>95%
13. 内毒素:<0.005 EU/μg 蛋白(低于检测水平)
使用 Smad 报告基因检测方法,在共转染了 activin E 辅助受体 ALK7 的 HEK293 细胞中测定重组 activin E PLUS 的活性。细胞用不同梯度稀释的 activin E PLUS 处理 6 小时,重复三次。测定萤火虫活性,并将其与对照海肾荧光素酶活性进行标准化。数据来自 Qk067 批号 204646。EC50 = 0.16 ng/ml (6.8 pM)。

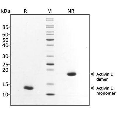
重组激活素 E PLUS 在非还原 (NR) 条件下迁移至约 23 kDa(二聚体)处形成一条主条带。在还原 (R) 条件下,仅可见约 12 kDa 处的单体条带。未发现任何污染蛋白条带。纯化的重组蛋白 (3 µg) 在还原 (+β-巯基乙醇,R) 和非还原 (NR) 条件下采用 15% w/v SDS-PAGE 进行分离,并用考马斯亮蓝 R250 染色。数据来自 Qk067 批号 #204646。

✔ 内分泌学药物研发
✔ 炎症药物研发
✔ 代谢中的药物发现
近期文献主要为 Activin E(点击查看详情) 在能量代谢、脂肪组织功能和肝脏健康中的作用提供了重要的见解。例如:
1. Vestal, K. A., Kattamuri, C., Koyiloth, M., Ongaro, L., Howard, J. A., Deaton, A. M., Ticau, S., Dubey, A., Bernard, D. J., & Thompson, T. B. (2024). Activin E is a transforming growth factor β ligand that signals specifically through activin receptor-like kinase 7. Biochemical Journal, 481(7), 547–564. https://doi.org/10.1042/BCJ20230404
✔ 明确 Activin E 是 TGF-β 家族的配体,特异性地通过 ALK7 受体进行信号传导
✔ 为理解 Activin E 的信号机制提供了分子基础,有助于未来的靶向治疗研究
2. Griffin, J. D., Buxton, J. M., Culver, J. A., Barnes, R., Jordan, E. A., White, A. R., Flaherty, S. E., Bernardo, B., Ross, T., Bence, K. K., & Birnbaum, M. J. (2023). Hepatic Activin E mediates liver-adipose inter-organ communication, suppressing adipose lipolysis in response to elevated serum fatty acids. Molecular Metabolism, 78, 101830. https://doi.org/10.1016/j.molmet.2023.101830
✔ 发现 Activin E 在肝脏中由脂肪酸诱导表达,并通过 ALK7 受体在脂肪组织中抑制脂解作用
✔ INHBE 基因敲除导致脂解增强、肝脏脂肪积聚和胰岛素抵抗
✔ 强调 Activin E-ALK7 信号通路在维持代谢稳态中的重要性
激活素 activin E是tgf-β超家族的成员,该家族是一类在调节细胞生长、分化和炎症中发挥关键作用的蛋白。与其他激活素一样,激活素e是一种二聚体蛋白,由两个亚基通过二硫键连接而成。这些亚基由前体分子产生,前体分子经过裂解形成HuoXing蛋白。激活素e具有特征性的胱氨酸结基序,这在tgf-β家族中很常见,对其功能很重要[1]。
激活素 E 起初因其在生殖生物学中的作用而被发现,但后来被发现参与了更广的生物学过程,包括代谢调节。它主要在肝脏中表达,并参与葡萄糖和脂质代谢的调节[2,3]。它在脂肪组织和胃肠道中也有检测到。
激活素 E 通过肝脏和脂肪组织中的ALK7受体发出信号,具体来说是利用ActRIIA和ActRIIB受体,同时抵抗卵泡抑素等拮抗剂[1]。受体结合可激活脂肪细胞中的SMAD2/3通路,使其与脂肪组织调控相联系,并使其成为通过增强胰岛素敏感性和产热作用来治疗肥胖和代谢紊乱的潜在靶点。阻断激活素e也可能通过改善脂肪能量代谢作为一种抗糖尿病策略[1]。
激活素 E与其他激活素具有共同的功能,例如增强促卵泡激素(FSH)在卵巢卵泡中的结合、促进精子发生以及参与雄激素的合成。这些多样化的功能使其成为内分泌学、代谢和炎症等多个领域药物研发的热门蛋白。了解激活素 E的信号通路及其生物学效应,有望为肥胖、糖尿病和其他代谢性疾病的治疗干预开辟新的途径[2]。
[1] Vestal, K. A. et al. Activin E is a transforming growth factor β ligand that signals specifically through activin receptor-like kinase 7. Biochem. J. 481, 547–564 (2024). https://doi.org/10.1042/BCJ20230404
[2] Griffin, J. D. et al. Hepatic Activin E mediates liver-adipose inter-organ communication, suppressing adipose lipolysis in response to elevated serum fatty acids. Mol. Metab. 78, 101830 (2023). doi: 10.1016/j.molmet.2023.101830
[3] Hashimoto, O. et al. Activin E controls energy homeostasis in both brown and white adipose tissues as a hepatokine. Cell Rep. 25, 1193–1203 (2018). doi: 10.1016/j.celrep.2018.10.008
关注我们获取原文资料,敬请期待QKine的更多新闻,欢迎进入曼博生物官网QKine产品页详细了解每种产品,也可直接进入QKine官网(https://qkine.com/)获取更多资料。





