发布时间:2025/03/20 点击数:1931 
01 概览
无饲养层(Feeder-free)的人诱导多能干细胞(iPSCs)培养是一个高度重复且常规的过程,但由于培养基的投入以及需要频繁更换培养基,可能会导致成本高昂。
培养基的额外成本主要基于两个核心细胞间通讯生长因子的需求,即成纤维细胞生长因子2(FGF-2)和转化生长因子B1(TGF-B1),它们需要在精确浓度下存在以维持iPSCs的干性/多能性。然而,要在体外环境中实现这一点具有挑战性,主要是由于FGF-2的快速降解,其有效半衰期小于10小时,导致需要每天更换培养基。
在本应用说明中,我们描述了一种使用包含Qkine热稳定FGF2-G3(Qk053)和TGF-B1 PLUS(QK010)生长因子的E8样培养基来维持、培养和测试iPSCs多能性的方法。该过程展示了在不需要每日更换培养基的情况下对iPSCs进行维持、扩增和多能性评估,实现了无需周末维护(Weekend-free)的培养和扩增,同时保持了细胞的多能性和增殖潜力。
02 引言
人诱导多能干细胞(iPSCs)是一种体外模型,功能上是永生的,能够在保持分化为任何体细胞类型的能力的同时,进行增殖。由于iPSCs可以应用于各种研究领域,并且不像胚胎干细胞那样面临相同的伦理问题,人们对iPSCs的生成兴趣有所增加。
这就产生了培养大量单个iPSC系或各种不同iPSC系的需求,这增加了日常更换培养基的成本且耗时。这一需求推动了对细胞培养基中主要信号成分的识别工作,以有效培养iPSCs。FGF-2通过与FGFR1/FGFR4结合,激活PI3K/AKT/mTOR通路,而TGF-β1通过与TGFBR1/2结合,激活TGF-β通路,这两者被强调为这些核心信号成分中的重要组成部分。
在日常维护中保持多能性对于以敏感性著称的细胞培养如iPSCs来说是一项挑战。使用高纯度和热稳定的生长因子可以帮助降低这种风险,因为它们缺乏内毒素等杂质,减少了对基因稳定性的影响,并提供了更为一致的必要生长因子方案。
E8样培养基是一种化学定义的培养基,这意味着它包含的未定义成分比其他复杂培养基少,减少了变异性,并提高了个体iPSC系或各种不同iPSC系培养之间的可重复性。这种配方已经过优化,可以支持细胞的强劲增殖,同时确保iPSC的多能性保持不变,从而提高细胞产量并使培养的扩展更加一致。iPSCs的多能性可以通过检测细胞内表面标志物如NANOG、SOX2和OCT-4来评估。
03 材料与方法
iPSC常规培养工作流程示意图(图1)概述了每日维持iPSC的步骤,并展示了与使用标准协议的区别。多能性评估时间表突出显示了测试iPSC多能性保持情况的重要时间点(图2)。

图1:iPSC的每周例行维护时间表

图2:多能性评估测试时间表
04 细胞培养和维护
iPSC每周传代两次,使用0.5mM EDTA进行细胞脱离,并以1:6的分裂比率接种在涂有vitronectin(5µg/ml)的6孔板中,使用E8样培养基进行培养(见表1)。传代后的第二天,移除已用培养基,并更换为5ml的新鲜培养基。

表1:E8样培养基构建组件
添加的各组分使用前需进行无菌和过滤消毒
05 免疫细胞化学(ICC)
iPSC使用Accutase进行细胞脱离,以每孔500个细胞的密度接种在涂有vitronectin(5µg/ml)的96孔板中,并在含有ROCK抑制剂(Y-27632,10µM)的E8样培养基中培养。接种后的第二天,移除ROCK抑制剂,每孔加入200µl E8样培养基。
3天后,用4%多聚甲醛固定细胞,并使用稀释在0.1% Triton X-100中的10%驴血清(donkey serum)进行封闭和透化。然后使用特异性抗体针对多能性标志物(OCT-4、NANOG和SOX2)在4°C下过夜免疫染色。随后,洗涤iPSC,并与二抗驴抗小鼠AlexaFluor 647或驴抗山羊(Donkey anti-Goat)AlexaFluor488和Hoechst 33258一起孵育,然后在磷酸盐缓冲盐水(PBS)中成像。使用EVOS M5000系统获取明场和荧光图像。
06 结果
FGF2-G3和TGF-β1 PLUS能够维持iPSC的多能性、形态外观和标记物表达。
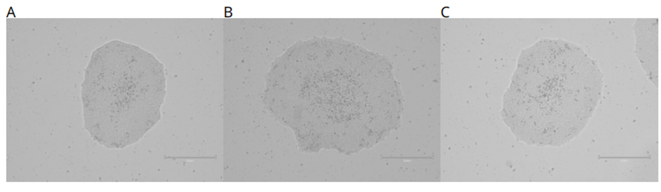
在包含Qkine FGF2-G3和TGF-β1 PLUS生长因子的E8样培养基中培养了一个月的iPSC,始终表现出高密度而没有自发分化。明场成像显示了在整个时间段内保持良好的细胞形态,具有清晰的边缘和紧凑的细胞,形成完整的圆形菌落(见图3)。这些iPSC通过高水平表达多能性标志物NANOG、SOX2和OCT-4,保持了它们的多能潜力,如图4所示。

图3:在E8样培养基中培养的细胞群体高度保持的形态外观成像
(A) 经过2次传代和7天培养后的成像
(B) 经过4次传代和14天培养后的成像
(C)经过8次传代和28天培养后的成像(比例尺=300µm)

图4:在E8样培养基中培养的iPSC的多能性标志物的免疫细胞化学(ICC)成像
(A) 明场图像
(B) NANOG表达(绿色)
(C) OCT-4表达(红色)
(D) NANOG、OCT-4和Hoechst 33258的组合成像
(E) 染色菌落的明场图像
(F) SOX2表达(绿色)
(G) SOX2和Hoechst 33258的组合成像(蓝色),比例尺=150µm
07 结论
iPSC在临床和研究领域的重要性日益增加,因为它们有潜力分化为人体内所有体细胞类型。成功的分化依赖于在培养过程中保持iPSC的多能性,因此需要使用正确的培养基。
本文展示的数据表明,在E8样培养基中使用Qkine FGF2-G3和TGF-B1 PLUS热稳定生长因子能够保持iPSC的多能性,支持其增殖,同时避免了每日更换培养基的需求。
这些iPSC随后被分化为各种胚层和细胞类型,进一步表明在结合Qkine的生长因子的无周末(Weekend-free )更换培养基条件下,其多能性得到了保持。
与在E8型培养基中培养的iPSC相比,虽然观察到类似的增殖率,但自发分化的水平较高,降低了用于未来工作的iPSC集落的质量。这些细胞还需要每日更换培养基,导致维护培养物的成本和时间投入增加(数据可根据要求提供,后续也会发布新推文)。
QKine,总部位于英国剑桥,是一家通过 ISO9001:2015 认证的公司。作为蛋白质创新的指引者,产品范围涵盖了多个应用领域,旨在提高您研究的可重复性。QKine积极支持并创新于新兴领域,如类器官和器官芯片、细胞农业、再生医学、合成水凝胶和生物打印等。
凭借强大的制造流程,QKine 生产高纯度、高品质、无动物成分的生长因子、细胞因子和其他复杂蛋白质, 可以通过提供批量预订、批量订单、定制装瓶和质量保证(QA )来支持规模化和商业制造。
关注我们,敬请期待更多QKine新闻!您可进入曼博生物QKine产品页,详细了解各类产品,也可搜索QKine官网获取更多资料。






