发布时间:2025/09/03 点击数:507 在药物研发赛道上,您是否仍受“体外数据与体内结果脱节”的困扰?在肝疾病机制研究中,是否因“细胞模型缺乏生理相关性”而止步?要知道,肝脏研究是创新药研发的“生死线”——行业数据显示,约40%的临床前候选药物因未能准确预测肝代谢或肝毒性终止开发,仅30%的体外代谢数据能与人体临床试验结果吻合。对药物研发而言,选择一套可真实复刻人体肝脏生理状态的研究工具,不仅是提升筛选效率的关键,更是降低后期研发风险、加速IND申报的核心突破口。
LifeNet Health深耕人类肝脏原代细胞领域多年,以“供体多样性、功能稳定性、场景适配性”为核心,搭建起覆盖悬浮细胞、贴壁细胞、非实质细胞及专用培养基的完整体系。LifeNet Health凭借高标准的组织采集与处理流程,以及成熟的细胞分离技术,有效提升了复苏后细胞的活力与功能稳定性,为科研领域提供兼具高品质与性能的细胞及组织样本。目前,其提供的人原代肝细胞和组织样本,适用于靶点识别、靶点验证、高通量筛选、药代研究、肝毒性评估、药效评估、器官芯片、3D培养、代谢稳定性研究及检测方法开发等多类药物研发场景。
• 细胞配套全:含悬浮 / 贴壁 / 非实质细胞(同供体),可模拟完整肝微环境;
• 供体多元:覆盖健康 / 疾病(如各阶段NAFLD)、全年龄段,避免单一偏差;
• 专配培养基:分复苏 / 铺板 / 维持阶段定制,稳定细胞功能;
• 表征详尽:含供体病史、病理评分及112种相关基因分型,支撑深入研究;
• 支持与合规强:提供实验方案、模型验证协助,配套申报所需全数据。
在药物发现早期,需对数百个候选化合物进行快速代谢稳定性评估,这就要求细胞模型具备“即拿即用”的便捷性与活力稳定性。
LifeNet Health的20例供体混合悬浮型原代肝细胞:
• 高活力与低衰减:复苏后平均活细胞产量 > 5×10⁶/ 瓶,活率 > 80%,孵育4小时,活率仍保持 > 80%,无需频繁更换细胞即可完成代谢化合物的清除率测试;
• 人群多样性覆盖:20例供体涵盖20-58岁年龄跨度、多种族,BMI 17.7-40.7,模拟临床用药人群的生理差异,避免“单一供体偏差”导致的误筛;
• 全酶谱功能:11种关键CYP酶、I相总代谢及II相UGT/SULT酶,酶活完整保留,可同步解析化合物的氧化、结合等代谢路径。

图1. 细胞复苏后,活力稳定性评估

图2. 细胞复苏后,显微镜视野(明场,200×)
在药物开发的早期阶段采用多种体外肝细胞培养策略。例如,悬浮测定可用于预测化合物的药代动力学和清除率,而三明治夹层培养模型系统可用于评估药物摄取和外排转运蛋白,或评估化合物通过诱导或抑制肝酶产生不良相互作用的可能性。持续时间更长、代谢更稳定的肝细胞培养系统被用于研究药物代谢和转运以及药物诱导的体外肝损伤。这些长期原代肝细胞培养模型在解决低周转率药物的长期清除问题方面十分有用。
LifeNet Health根据复苏后细胞的贴壁培养时长,将贴壁型肝细胞分短期,中期和长期贴壁细胞3种类型,分别可贴壁培养1-4天;5-9天和10-14天。可根据实验周期选用合适的细胞类型进行实验,为实验项目适配一个高性价比的细胞:
• 短期贴壁细胞:可稳定贴壁培养1-4天,适用于实验周期在4天内的实验,如早期药物发现,靶点检测,转染实验,肝靶向递送效率研究等应用;
• 中期贴壁细胞:可稳定贴壁培养5-9天,代谢研究,CYP酶诱导实验,肝毒性研究,类器官,器官芯片等实验;
• 长期贴壁细胞:可稳定贴壁培养10-14天,慢代谢药物与慢性肝毒性评估,3D培养,长周期肝细胞研究等。

图3. 人原代贴壁肝细胞(健康)

图4. 人原代肝细胞球体形成
肝脏的生理功能依赖肝细胞与非实质细胞(NPCs)的协同作用,仅用肝细胞难以模拟药物引发的免疫介导肝损伤、肝窦阻塞等复杂毒性。LifeNet Health的供体匹配NPCs套装(星状细胞SC、库普弗细胞KC、内皮细胞LEC),构建“完整肝脏微环境”:
• 同供体来源:SC、KC、LEC与肝细胞来自同一供体,从源头消除样本异质性;
• 功能特异性:星状细胞激活后α-SMA表达量提升5倍,可用于评估药物对肝纤维化的促进/抑制作用;内皮细胞保留完整的肝窦屏障功能,可测试纳米药物的肝靶向递送效率。

图5. 人原代肝细胞共培养
细胞的活力与功能依赖适配的营养环境,LifeNet Health针对原代肝细胞的不同培养阶段,开发全流程专配培养基,从复苏到长期培养,每一步都为细胞提供“营养方案”,避免因培养基不当导致的功能衰减:
• 肝细胞复苏培养基(HHTM)50mL即用型优化配方复苏培养基,可提升冻存肝细胞的产量与存活率;
• 肝细胞铺板培养基(HHPM)+补充剂(HHPMS)250 mL铺板培养基以含血清的DMEM为基础,搭配 15 mL 规格的补充剂,可促进原代肝细胞的贴壁性能;
• 肝细胞维持培养基(HHCM)+补充剂(HHCMS)500 mL维持培养基无血清配方(避免血清中未知成分干扰实验),搭配5 mL补充剂,可维持肝细胞生长。

图6. 人原代肝细胞与原代肝细胞复苏培养基
• 丰富的供体来源:拥有专业机构保障供体获取,覆盖范围广,既能提供不同NAFLD阶段(含脂肪变性、NASH、肝细胞癌HCC)捐赠者的原代肝细胞,也能提供涵盖新生儿期、儿童期、青少年期等不同生命阶段肝组织来源的原代肝细胞,可满足研究年龄相关性肝代谢差异、预防潜在肝毒性事件等需求;
• 充足的细胞表征信息:提供多维度关键信息,包括供体病史与社会史、组织病理学评估及图像、细胞贴壁与接种密度、I/II期酶活、CYP诱导情况;还提供对应供体基因分型信息,涵盖112种与I期酶(细胞色素P450同工酶)、II期酶(解毒和转运蛋白)相关的基因变异分析,含实际测序调用结果、供体种族匹配的等位基因频率及参考等位基因,可支撑化合物发现开发中的实验设计,如代谢率、药物相互作用、疾病模型等研究。

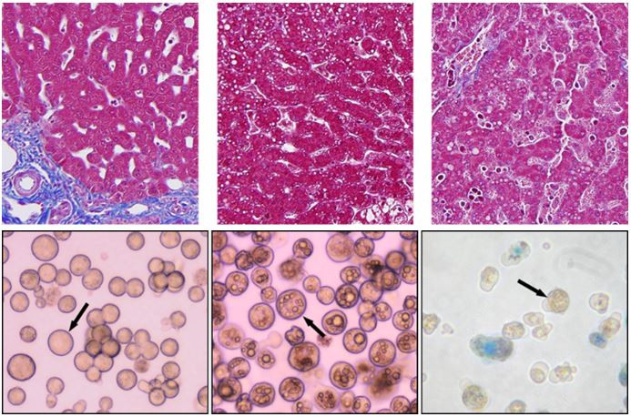
图7. 来自正常肝脏、脂肪肝脏和受损肝脏的组织切片和肝细胞(从左到右)

图8. 基因分型(酶与肝疾病相关)
于药企而言,IND申报阶段的“数据溯源”与“合规性”是核心。LifeNet Health的全系列产品为申报提供完整支撑:
• 供体全档案:每批细胞附带供体病史、传染病筛查报告、病理评分,肝细胞培养基提供完整的成分表与稳定性测试报告;
• 标准化实验方案:提供详细的细胞复苏、培养、酶活检测及培养基使用protocol;
• 技术支持:专业团队可协助开展原代肝细胞实验研究,并提供培养模型验证支持。
40年来,LifeNet Health始终以“激活捐献者细胞与组织的价值,助力医学与生命科学突破”为目标,从样本获取的合规性、细胞功能的稳定性,到模型构建的完整性,每一个环节都承载着对科研严谨性的尊重。对于追求“高质量数据”的科研与药物研发人员而言,这样的细胞与样本体系,不仅是实验工具,更是推动研究向临床转化的可靠伙伴。
如咨询相关产品/获取产品彩页,欢迎点击下方二维码联系我们!






